The image you are seeing and engaging with was produced by Generative AI.
User
Prime James Worthy
The image you are seeing and engaging with was produced by Generative AI.
User
×
Patient Profile
Prime James Worthy
Age: 40
Gender: Male
Ward / Unit: Outpatient / Home
Medical History
No chronic illnesses, generally healthy.
Medications
Acetaminophen (Tylenol) for fever NyQuil for cough/congestion
Allergies
None known
Current Symptoms
Fever ~102°F with chills
Body aches and fatigue
Sore throat, dry cough
Nasal congestion, mild headache
Loss of appetite
Notes / Concerns
Unsure if antibiotics are needed
Worried about COVID-19
Concerned about how long symptoms will last
×
Medical Records
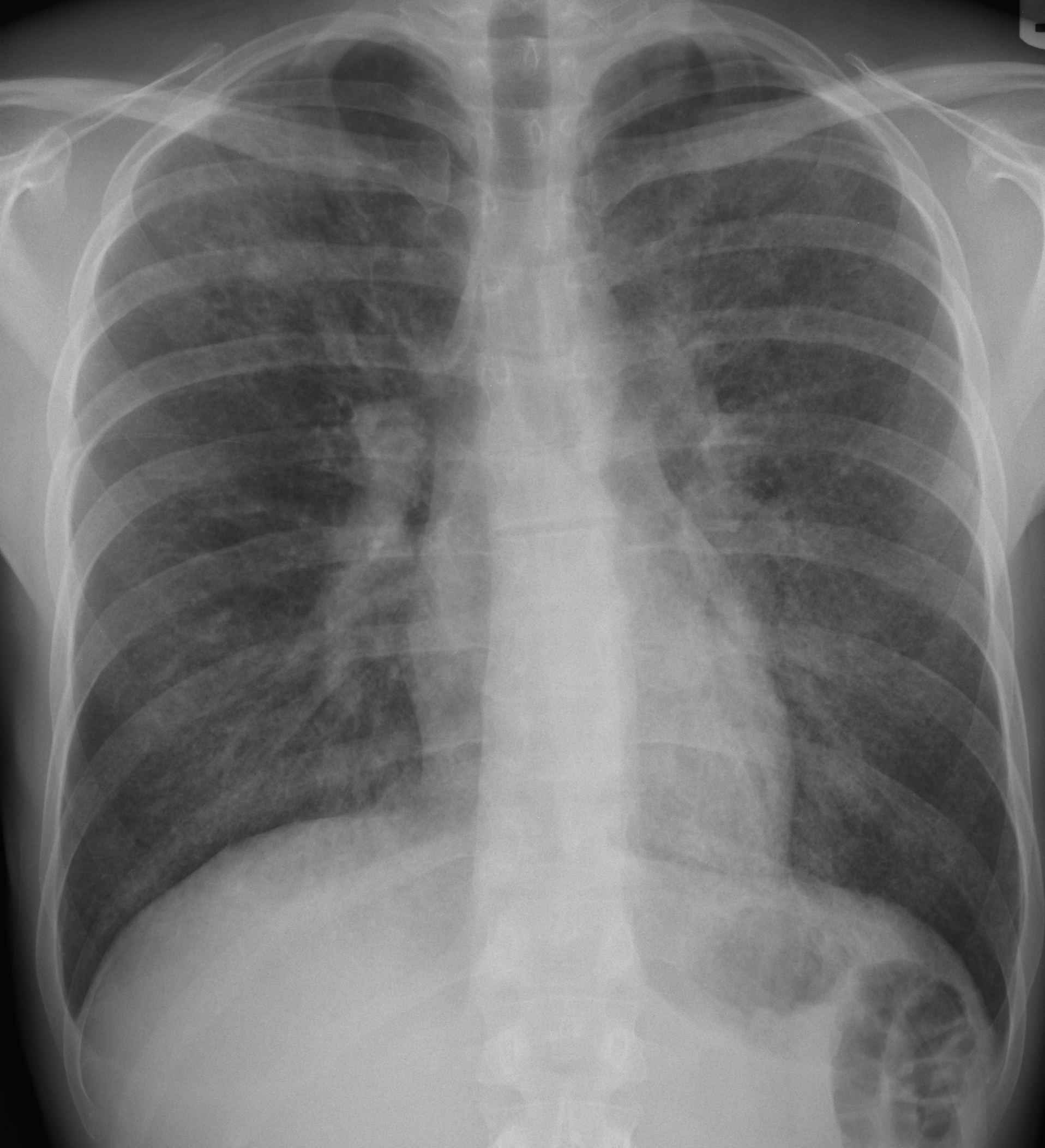
Chest X-ray
Lab Results
WBC: 11.2 x10³/µL (slightly elevated)
CRP: 45 mg/L (elevated)
Blood Glucose: 150 mg/dL (fasting)
Creatinine: 1.0 mg/dL (normal)
Exam Notes
Patient presents with fever, fatigue, and shortness of breath. Chest auscultation reveals mild crackles in lower lobes. No signs of cyanosis. Patient is alert and oriented.
Cough Sounds
Lung Sounds
The auscultation location is indicated on the chest wall (torso) to show where the stethoscope was placed and the patient was seated